Family Dentistry
Experience Exceptional Care with Dentist in Highland Ranch at Cottonwood Dental Group

Dr. Parsons specializes in Cosmetic and General Dentistry
At our Highlands Ranch Dental Practice, you are not just a number, your whole health and dental goals are our number one priority. As a family-owned practice since 1982, we offer a complete array of compassionate dental services, from cosmetic and sedation dentistry to dental implants and same-day crowns.
We love changing lives, one smile at a time. If you are looking for a different kind of dental experience, look no further than Dr. Parsons at Cottonwood Dental Group in Highlands Ranch, CO.

Dental Insurance?
Not Sure If Your Dental Insurance Is Cost-Effective
or You Don’t Have Dental Insurance?
We take the worst part about dental care and cut it out. Dental Insurance. Did you know that the dental insurance industry makes more money the more confusing they make their policies? Each insurance company provides thousands of different types of policies. Making it hard for both you as the patient and dental offices to really find out what they will pay for and how much. Reimbursement maximums have not changed since the 1950s with increasing amounts of waiting periods, exclusions, and denials.
Most “insurance” plans will pay a maximum of $1,000-$1,500 per year. This leads to almost no money paid towards any dental treatment that is necessary with deductibles and copays due for any preventive and other treatment.
Sedation
Implants
clear tray
Family
Crowns
Veneers
Dentures
Top-Tier Dental Care with Highlands Ranch's Best Dentists
A family-run practice since 1982 has made us one of the preferred dentist offices in Highlands Ranch, Lone Tree, Centennial, Castle Pines, and Parker. Local residents trust us for the quality of our personalized care approach offered in a relaxed, friendly, and calm atmosphere. No matter what kind of dental work you need to have done, you can rely on us to perform it well. We love changing lives, one smile at a time.
Our Core Values
Patient Care
Patient care and customer service is our number one priority. Dr. Parsons and our dental team treat you like family. We empower you to strive for the dental health and esthetics that you desire and deserve. Our team will always work with you to achieve your dental goals and desires.
Quality Work
Cottonwood Dental Group and Dr. Parsons, believe that you will receive the greatest value for the work you receive in a comfort and personal setting. Our team knows that when you are in our office anyone can look you in the eye and know that you receive a great value for the care, dedication, training and products you receive. Ranging from routine cleanings to cosmetic services such as SMILE makeovers, we want our patients to SMILE bright when they choose us.
Advanced Technology
Dr. Parsons and the Cottonwood Team are passionate about advance education and training. Our team understands that dentistry is an ever changing field with advancing techniques and technology. Dr. Parsons prides herself on taking hundreds of hours of continuing education each year. She believes in providing her patients with the most advance technology dentistry has to offer.

We Keep Good Company














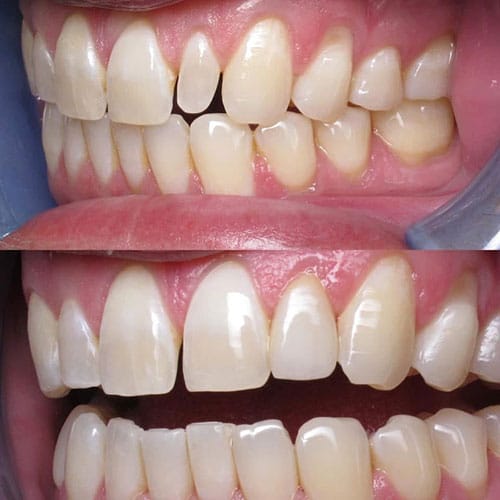
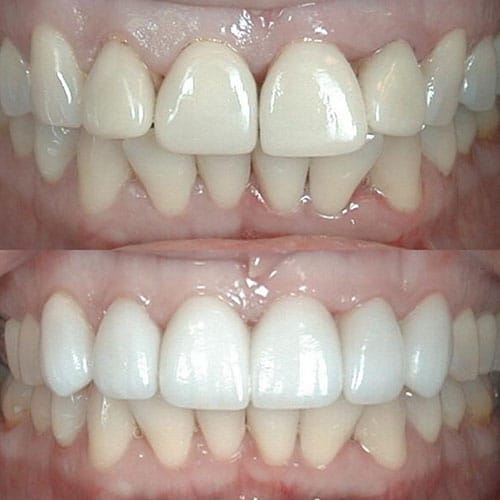
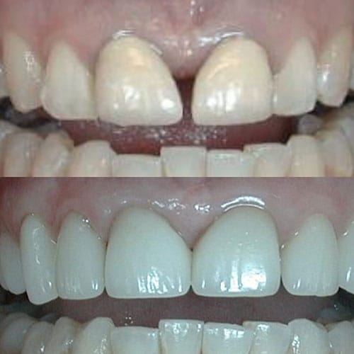
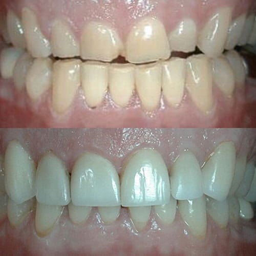
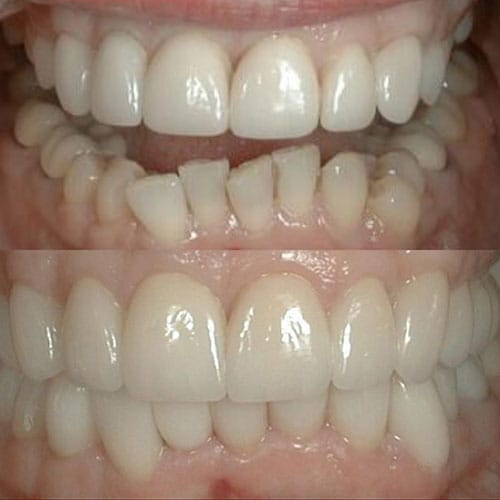
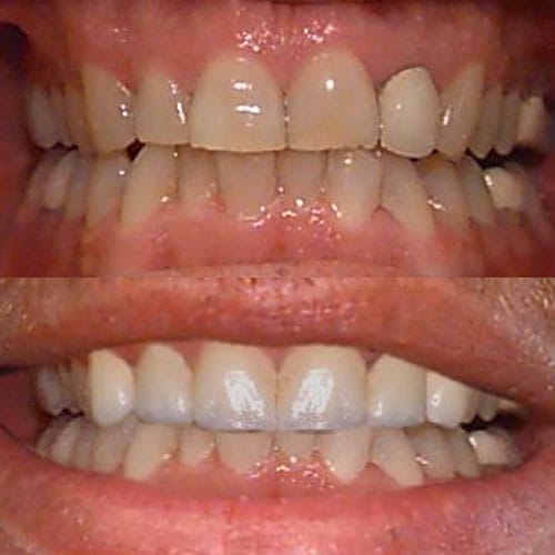
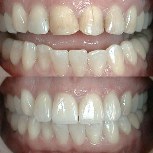
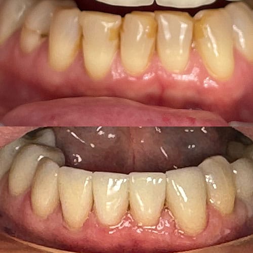
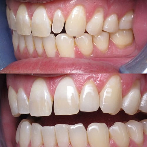
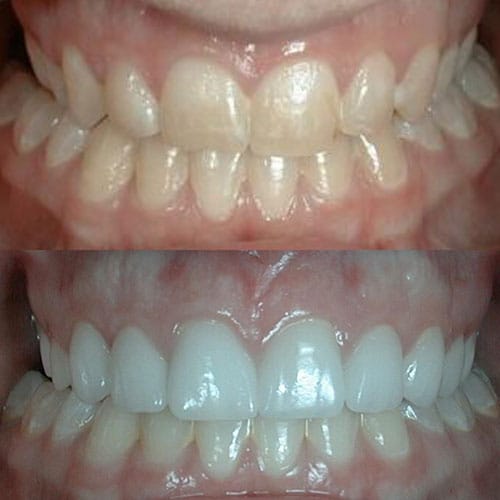
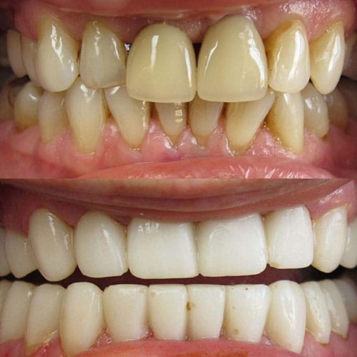
Before & After
Complete Dental Services























